Basic principles of Ultrasound in Aesthetic Dermatology

The use of ultrasound in Aesthetic Dermatology has become increasingly present in the daily lives of the most qualified practitioners, helping them to avoid and treat complications related to injectable procedures.

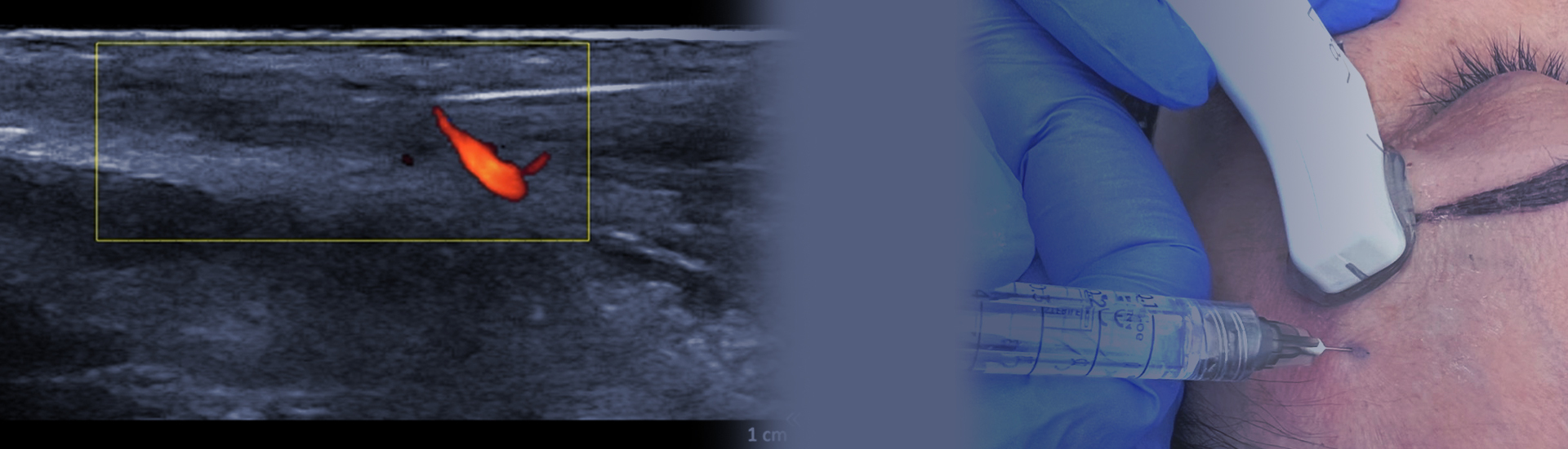
The sonography is a dynamic image method and allows the injector to visualize facial structures during the procedure, identify the best injection plan and avoid important vascular structures. It also allows to differentiate previously injected fillers and guide the treatments of complications.

To incorporate this valuable tool into your daily practice you need training!

 

This intensive one day hands on course will:

  • Familiarize you with the use of dermatological ultrasound
  • Demonstrate how to identify anatomical structures
  • Teach you the basic technique to perform ultrasound guided injections

 

During the course you will have the opportunity to handle different devices. In addition, you will have the opportunity to follow a live ultrasound guided filler treatment performed by our experts.

 

unibasel logo

 

The course is organized by the Aesthetic Dermatology Division of the Universitätsspital Basel and will take place at Margarethenklinik, in the central region of the city.

Coordinators:

roberta

Dr. Roberta Vasconcelos-Berg, MD, PhD: Director of Aesthetic, Reparative and Laser Dermatology at Universitätsspital Basel, based at Margarethenklinik. She has 12 years of experience with injectables and since 2019 leads the Aesthetic Dermatology team at the Universitätsspital Basel. As a pioneer in Switzerland in the use of ultrasound in injectables, she has incorporated the use of technology into her daily practice and currently performs all filler procedures with the support of the ultrasound.

 

dr rosa sigrist 1

Dr. Rosa Sigrist, MD is a Radiologist, focusing on dermatological ultrasound. She currently works at the largest hospital in Latin America, Hospital das Clinicas de Sao Paulo and also at her private clinic, Ultrassonando. Dr. Sigrist participates in international dermatological ultrasound research groups and teaches courses in Brazil, the United States and Europe focused on injectable ultrasound.